大陆疯传原始毒株重现 医护曝恐怖 “ 白肺 ” 照片 (图/视频)

中国大陆疫情大爆发,民众纷纷亮出自己或亲人感染新冠肺炎的白肺照片。 医师 : 患者性命堪忧。(图片来源:微博)
中国大陆各省近日染疫和死亡人数飙升,多地火葬场不堪负荷。连日来,大批民众在微博爆料,染疫者被诊断出严重肺炎,甚至遭恐怖的病毒性 “ 白肺 ” 夺命,人心惶惶。
一位不愿署名的武汉医生向《看中国》披露,武汉近期来的疫情非常严峻,不比北京差,而且市区内各大医院人满为患,重症非常多根本都没有住院的床位了,染疫去世的不只是老年人,也有青壮年,而且高烧不退,出现 “ 白肺 ” 症状的不在少数,真实情况跟政府说的完全不对号。
大陆疯传原始毒株重现 医护贴 “ 恐怖白肺照 ”
大陆目前不明疫情大爆发,很多患者出现白肺,跟国际上的奥密克戎变异株Omicron症状大相迳庭,火葬场不堪重负,中共很多官员及为特权服务的科学界、文艺界、医学界的名人、红人近日内大量死亡。
大批民众近日也在微博爆料,染疫者被诊断出严重肺炎,老人在医院发现 “ 白肺 ” 症状,也出现死亡病例。
“ 白肺 ” 是新冠病毒早期的典型病症之一,目前中国大陆微博正流传一份疑似医院内部人士的对话纪录,指这次的病毒混有很多不知其来源的原始毒株,所以出现了很多青壮年的 “ 白肺 ”。
外界质疑中共,可能隐瞒了新的变异病毒。
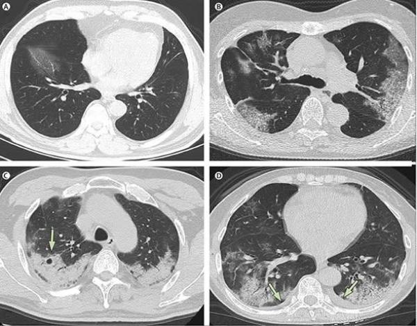
“ 白肺 ” 指的是重症肺炎患者进行 X 光检查时,肺部显影呈现大面积的白色,这表示肺部被严重侵蚀、纤维化,是种极端的肺炎症状,罹患者性命堪忧。
央视前主持人樊登日前表示,他的父亲日前病逝,“ 老人家送到医院出现白肺情况,肺部几乎全变白了。”
知名经济学家梅新育12月20日在微博发文,左派学者胡鞍钢夫人的父亲因肺炎去世,“ 在医院做电脑断层(CT)时,肺部已经白了1/4。”
爆料者除了死者家属,也有医护人员,忧心3年前武汉疫情爆发时的典型症状 “ 白肺 ” 再度大量涌现。不少医护人员在微博贴出,在医院拍下的照片,显示不少患者的肺部已经彻底纤维化,相当恐怖。
北京朝阳医院1名医生在微博发布影片,记录1名70多岁老人肺部迅速白化的过程,据称这名老人感染仅仅1天。
还有一名河南医生声称,12月23日上午有2名病人死亡,其中1例是大白肺;同日也有山东医护人员在微博发文,指1名患者的CT影像显示白肺。
所谓 “ 白肺 ”,指的是重症肺炎患者进行X光检查时,肺部显影呈现一大片白色,这意味着肺部被严重侵蚀、纤维化,性命堪忧。

中国大陆疫情大爆发,民众纷纷亮出自己或亲人感染新冠肺炎的白肺照片。 医师 : 患者性命堪忧。(图片来源:微博)
专家:白肺重症死亡率40%以上
大陆医生张黎表示,重症的白肺患者,死亡率在40%以上,造成白肺的原因有两个:肺部本身感染,或者身体其他部位感染引发人体炎症反应。
“ 白肺 ” 也叫急性呼吸窘迫综合征(ARDS),一般指重症肺炎患者在X光或CT检查下的表现,肺部显影呈一大片的白色状而得名。临床表现为胸闷气短、呼吸不畅,白肺患者的血氧饱和度较低,因此会导致严重缺氧的结果。
YouTube的大陆翻墙过来的自媒体罗兵是武汉人,他在3天前就曾拍视频表示自己的肺也白了,而且武汉医院爆满,根本就没有住院床位。
一名不愿书名的武汉医生跟我透露:武汉各大医院死了很多人,很多都是青壮年就有了 “ 白肺 ” 的症状。




